ДИАГНОСТИКА И ХИРУРГИЧЕСКАЯ ТАКТИКА ПРИ СИНДРОМЕ МЕХАНИЧЕСКОЙ ЖЕЛТУХИ
, ,
Национальный медико-хирургический центр им. , г. Москва
Резюме. Проанализирован опыт диагностики и лечения 247 пациентов с механической желтухой, поступивших в НМЦХ им. с 2004 – 2008 г. По клинической симптоматике пациенты были разделены на две группы: ,40%) – с синдромом болевой механической желтухи,,60%) – с синдромом безболевой механической желтухи. Для дифференциальной диагностики механической желтухи применяли неинвазивные и инвазивные методы исследования. Чувствительность УЗИ в выявлении причин механической желтухи составила 87,7%, при желчно-каменной болезни – 98,3%, опухолях – 63,9%, общая специфичность – 85,4%. Чувствительность МСКТ с болюсным контрастированием - 97,7%, МРТ - 81,38%. Диагностическая специфичность ЭРХПГ 89,3%, эффективность МРХПГ в диагностике механической желтухи – 98,5%. У 157 пациентов выполнены миниинвазивные хирургические пособия. Определена последовательность применения лучевых методов и выделены три основных диагностических этапа для распознавания причин механической желтухи. На первом этапе скрининговое исследование - УЗИ, второй этап - ЭРХПГ, третий этап диагностики МРХПГ или МСКТ. Эффективность механической литотрипсии достигла 86%. Основным методом завершения чрескожных чреспеченочных эндобилиарных вмешательств, в случае невозможности выполнения традиционного хирургического вмешательства, является эндопротезирование желчевыводящих протоков. Используемый диагностический алгоритм явился системой поэтапных мероприятий лечебно-диагностической помощи больным с механической желтухой, позволяющей установить диагноз в кратчайшие сроки и вместе с тем провести вмешательства, направленные на декомпрессию желчевыводящих путей. При выборе метода желчеотведения необходимо учитывать уровень обтурации желчевыводящих путей, распространение патологического процесса и состояние пациента. Двухэтапный метод лечения синдрома механической желтухи, позволил уменьшить количество послеоперационных осложнений на 17%, а летальность снизить до 2,8%.
Resume. The experience of diagnostics and treatment of 247 patients (2004–2008) with obstructive jaundice entered to NMSC named after N. I. Pirogov has been analysed. According to clinical semiology the patients have been divided on two groups: ,4%) patients with syndrome of painful obstructive jaundice and,60 %) patients with syndrome of nonpainful obstructive jaundice. For differential diagnostics of obstructive jaundice nonivasive and invasive methods of research have been applied. Sensitivity of ultrasonic revealing the reasons of obstructive jaundice has made 87,7%, at cholelithiasis it has made 98,3%, at tumours it has been equal to 63,9%, the general specificity has made 85,4%. Sensitivity of multispiral x-ray computer tomography with bolus contrast has made 97,7%, at MRI it has made 81,38%. Diagnostic specificity of ERCP has been equal to 89,3%, efficiency of MRCP in diagnostics of obstructive jaundice has made 98,5%. 157 patients have been performed miniinvasively. The sequence of the application of radial methods has been determined and three basic diagnostic stages for recognition of the reasons of obstructive jaundice have been emphasized. On the first one is ultrasonic (screening) research, the second one is ERCP, the third stage is MRCP or MSCT. The efficiency of mechanical lithotripsy has reached 86%. In case of impossibility of the performance of traditional surgical intervention the basic method of the ending of transcutaneous transhepatic endobiliary interventions is endoprosthesis replacement of bile-excreting ducts. The used diagnostic algorithm has been the system of stage-by-stage actions of the medical-diagnostic help for patients with obstructive jaundice, allowing to make the diagnosis in the shortest terms and at the same time to lead the interventions directed on decompression of bile-excreting ducts. At a choice of the method of bile removing it is necessary to consider a level of obturation of bile-excreting ducts, distribution of the pathological process and condition of patient. Two-stage method of the treatment of syndrome of obstructive jaundice has allowed to reduce the quantity of postoperative complications by 17%, and to lower the lethality to 2,8%.
Введение. Проблема диагностики и лечения желтухи механической этиологии (син.: обтурационная, обструктивная, подпеченочная) остается одной из труднорешаемых до настоящего времени задач клинической хирургии [2,3,4,9,15]. Синдром обструктивной желтухи объединяет обширную группу заболеваний, общим и наиболее ярким клиническим признаком которых является пожелтение кожных покровов и склер в результате повышения концентрации билирубина в крови вследствие нарушения проходимости магистральных желчных протоков [7,12,16]. Несмотря на обширный арсенал современных методов исследования, дифференциальная диагностика механической желтухи сложна, а позднее выявление истинной причины ее приводит к значительной задержке выполнения необходимого хирургического вмешательства. Диагностические ошибки, возникающие в 10 – 42% наблюдений [4], ведут к быстрому нарастанию печеночной недостаточности и у 54% больных [1] возникновению тяжелых осложнений (желудочно-кишечные кровотечения, гнойный холангит, абсцессы печени, билиарный сепсис, энцефалопатия), что в 14 – 27% случаев неминуемо приводит к летальному исходу [3,8]. Определенные достижения в диагностике и лечении этой тяжелой категории больных связаны, в первую очередь, с внедрением в клиническую практику лечебных учреждений новых методов диагностики (УЗИ, КТ, МРТ, эндоскопии, ангиографии), а также применением современных (лапароскопических, эндоскопических, ультразвуковых, рентгенотелевизионных) миниинвазивных технологий [3,4,10,14,18]. Вместе с тем вопросы современной диагностики и рациональной лечебной тактики при механической желтухе остаются одними из наиболее сложных в хирургической гастроэнтерологии.
Материалы и методы. Проанализирован опыт диагностики и лечения 247 пациентов с механической желтухой, поступивших в НМЦХ им. с 2004 – 2008 г. Больные были в возрасте от 17 до 81 года, среди них 114 женщин и 133 мужчин.
Абсолютно точных и патогномоничных клинических и лабораторных признаков механической желтухи нет. Однако основные сведения из анамнеза, наиболее важные данные физикального обследования и лабораторной диагностики позволили заподозрить обтурационную желтуху у 78% больных; 22% пациентов были переведены из инфекционных больниц и гастроэнтерологических стационаров.
По клинической симптоматике пациенты были разделены на две группы: ,40%) – с синдромом болевой механической желтухи,,60%) – с синдромом безболевой механической желтухи. Причинами обтурационной желтухи у ,91%) пациентов явились: желчнокаменная болезнь, холедохолитиаз (Рис. 1), у,73%) – заболевания (опухолевые и неопухолевые) желчных протоков, прочие болезни панкреатобилиарной зоны, вызывающие внешнюю компрессию желчных протоков (Рис. 2), составили 30,36% (75 больных). (табл. 1).
Табл.1 Распределение больных в зависимости от причины обструктивной желтухи.
Причины механической желтухи | Число больных | |
абс. | % | |
Холелитиаз | 106 | 42,91 |
Камни желчного пузыря и протоков | 65 | 26,31 |
Камни внутрипеченочных желчных протоков | 12 | 4,86 |
Холедохолитиаз | 29 | 11,74 |
Заболевания (опухолевые и неопухолевые) желчевыводящих протоков | 66 | 26,73 |
Холангиокарцинома | 7 | 2,83 |
Склерозирующий холангит | 3 | 1,22 |
Гнойный холангит | 26 | 10,53 |
Стриктуры | 27 | 10,93 |
Киста общего желчного протока | 3 | 1,22 |
Прочие болезни панкреатобилиарной зоны | 75 | 30,36 |
Острый панкреатит | 20 | 8,10 |
Хронический индуративный панкреатит | 11 | 4,45 |
Кисты поджелудочной железы | 15 | 6,07 |
Опухоли головки поджелудочной железы | 16 | 6,48 |
Опухоли большого дуоденального сосочка (БДС) | 7 | 2,83 |
Рак желчного пузыря | 2 | 0,81 |
Дивертикулы 12-перстной кишки | 4 | 1,62 |
Всего | 247 | 100 |
У %) больных при поступлении выявляли осложнения, сопутствующие механической желтухе (табл.2). Наиболее часто диагностировали печеночно-почечную недостаточность (15,79%) у пациентов с длительно существующей билиарной гипертензией и высокими цифрами билирубина, сопровождающуюся гемокоагуляционными расстройствами и энцефалопатией. Сопутствующий механической желтухе холангит, который диагностирован у,53%) больных, рассматривали как патологическое состояние, проявляющееся местным инфекционным воспалением желчных путей и системной воспалительной реакцией (СВР) с высоким риском перехода в билиарный сепсис [5]. При длительном существовании гнойного холангита у 7 (2,83%) пациентов выявлены холангиогенные абсцессы печени. Главной причиной их развития явились рубцовые стриктуры желчных протоков (Рис. 3) у 3 и длительно существующий холедохолитиаз (Рис. 4) у 4 пациентов. Одним из наиболее опасных осложнений механической желтухи, требующих экстренных хирургических манипуляций, считаем билиарный панкреатит, выявленный у,74%) пациентов, причиной развития которого являлся ущемленный камень БДС и спазм или стеноз сфинктера Одди (Рис. 5). При опухолях БДС и стойком нарушении оттока желчи билиарный панкреатит наблюдали лишь в 2 случаях (Рис. 6). Наиболее частыми признаками билиарного панкреатита были: боль, наличие интоксикационного синдрома с быстрым развитием гемодинамических расстройств. Желтуха при билиарном панкреатите носила, как правило, смешанный характер. [6,17].
Табл. 2 Осложнения механической желтухи.
Число больных | ||
Характер осложнения | абс. | % |
Гнойный холангит | 26 | 10,53 |
Холангиогенные абсцессы печени | 7 | 2,83 |
Печеночно-почечная недостаточность | 39 | 15,79 |
Билиарный панкреатит | 31 | 12,55 |
Всего | 103 | 41,7 |
Выбор метода диагностики во многом зависел от предполагаемой области обтурации желчевыводящих путей, характера патологического процесса, диагностической эффективности метода (его чувствительности, специфичности и общей точности), частоты возможных осложнений [2]. Для дифференциальной диагностики механической желтухи применяли неинвазивные методы – УЗИ, эзофагогастродуоденоскопию (ЭГДС), МРТ и магнитно-резонансную холангиопанкреатикографию (МРХПГ), КТ, мультиспиральную компьютерную томографию (МСКТ) и инвазивные – ЭРХПГ, чрескожную чреспеченочную холангиографию (ЧЧХГ), лапароскопию.
Результаты и обсуждение. Всем 247 больным было выполнено УЗИ на ультразвуковых аппаратах «В-К medical» и «Logic – 400» в В-режиме с использованием датчиков 5 и 3,5 МГц (табл. 3). Исследование проводили натощак полипозиционно по стандартной методике. Преимуществами УЗИ явились: отсутствие лучевой нагрузки, мобильность, возможность многократных исследований и проведения лечебных мероприятий. Чувствительность УЗИ в выявлении причин механической желтухи составила 87,7%, при желчно-каменной болезни – 98,3%, опухолях – 63,9%, общая специфичность – 85,4%. Трудностями интерпретации УЗИ в 12,3% наблюдениях явились небольшие патологические образования (камни, опухоли), расположенные в терминальном отделе общего желчного протока.
Табл. 3 Вид лучевых исследований и их количество.
Вид исследования | Число обследованных больных | |
абс. | % | |
УЗИ | 247 | 100 |
МСКТ | 113 | 45,75 |
МРТ | 229 | 92,71 |
МРХПГ | 211 | 85,43 |
ЭРХПГ | 192 | 77,73 |
Всего | 992 |
МСКТ исследования были выполнены 113 пациентам на компьютерном томографе «Somatom Sensation 4» по следующему протоколу. Непосредственно перед первой серией исследования больной принимал внутрь 250 мл воды, без добавления контрастного препарата. В этих условиях пигментные камни, имеющие высокую рентгеновскую плотность, хорошо обнаруживались на фоне мягкотканых структур. Вторая серия сканирования проводилась с применением болюсного контрастного усиления. Применение болюсного усиления было особенно необходимо для обнаружения холестериновых камней, изучения стенки общего желчного протока (ОЖП), стенки 12-перстной кишки и желудка, для изучения поджелудочной железы, паренхимы печени. В качестве контрастного препарата при болюсном усилении использовали неионные контрастные средства (Ультравист 370 или Омнипак 350) – 100 мл, скорость введения 2 – 3 мл/с. Метод МСКТ с болюсным контрастированием оказался высокоинформативным в группе больных с эктраорганным сдавлением желчных протоков, который в 97,7% наблюдений помог идентифицировать опухоли головки поджелудочной железы, печени, желчных протоков и желчного пузыря. У 13 (5,26%) пациентов с индуративным и острым панкреатитом были получены ложноположительные результаты. У 19 (7,69%) не диагностирован холангиолитиаз, обусловленный холестериновыми камнями.
МРТ изображения выполнены 229 больным на томографе «New Intera» с напряженностью магнитного поля 1,5 Т. Пациенты были обследованы в положении на спине, при задержке дыхания с использованием катушки для тела. Сначала выполняли обычные аксиальные Т1-, Т2-взвешенные и коронарные Т2-взвешенные МР изображения верхнего отдела брюшной полости с использованием последовательности Turbo Spin-Echo (TSE) и дополнительные аксиальные Т2- и/или Т1-взвешенные последовательности с подавлением жира (SPIR). Обычные аксиальные изображения служили исходными для выполнения у 211 пациентов МРХПГ. Коронарные МРХПГ изображения были выполнены с использованием multislice heavily Т2-взвешенной TSE последовательности (TR=2 000 мс, ТЕ=700 мс). При невозможности выполнить задержку дыхания использовался режим respiratory-triggering, чтобы уменьшить артефакты от дыхательных движений пациента. После получения исходных МРХПГ изображений были построены 3D-реконструкции с использованием алгоритма проекций максимальной интенсивности (MIP). Общее время получения МР изображений составило приблизительно 30 минут. МРХПГ обеспечила высокую (93,1%) достоверность диагностики заболеваний желчных путей, печени, поджелудочной железы и главного панкреатического протока. При этом метод позволил у ,38%) пациента определить уровень, протяженность и причину обтурации протоковой системы (Рис. 7).
ЭРХПГ выполнена 192 больным. Использовался дуоденоскоп с боковым обзором, холангиопанкреатикограммы получали на цифровой рентгеновской диагностической установке «Prestig». Под контролем рентгеноскопии в условиях атонии двенадцатиперстной кишки канюлировали общий желчный или панкреатический проток и заполняли контрастным веществом внутрипеченочные пути, пузырный, ОЖП и желчный пузырь. На заключительном этапе у 157 пациентов проводили миниинвазивные хирургические пособия - назобилиарное наружное дренирование (ННД), папиллосфинктеротомию (ПСТ), билиарное стентирование (БС). Несмотря на инвазивность этого метода, чувствительность и специфичность его составила 89,3%, особенно в группе пациентов с холелитиазом, опухолями БДС, общего желчного и внутипеченочных протоков, их стриктурами и склерозирующим холангитом. Однако в 3,9% наблюдений развились осложнения (панкреатит, панкреанекроз, обострение холангита, холангиогенные абсцессы печени).
В анализируемом клиническом материале эффективность МРХПГ в диагностике механической желтухи, вызванной холелитиазом, воспалительными стриктурами или опухолью ОЖП, оказалась достаточно высокой – 98,5%. Преимущество метода заключалось в возможности изучения состояния ОЖП и внутрипеченочных протоков в естественных условиях, без заполнения их контрастным веществом. Кроме того, эта методика во всех случаях обеспечивала отображение протоков выше и ниже препятствия, протяженность и степень сужения, что было важно для планирования лечебных манипуляций. Из 192 больных в 153 наблюдениях диагноз на момент проведения ЭРХПГ был установлен, и данный метод в основном применялся как лечебное миниинвазивное оперативное вмешательство, цель которого заключалась в ПСТ, низведении камней и выполнении других транспапиллярных манипуляций. Лечебный компонент ЭРХПГ при опухолях панкреатобилиарной области заключался в выполнении транспапиллярных вмешательств, прежде всего, ретроградной декомпрессии внутрипеченочных желчных протоков. Вместе с тем, выполнение этой манипуляции при панкреатобилиарных опухолях часто оказывалось невозможным из-за локализации сужения, его протяженности и плотности опухолевой ткани. В этих случаях отдавали предпочтение установке стентов постредством чрескожного чреспеченочного доступа под рентгенотелевизионным или ультразвуковым контролем. Неудачи при использовании метода объяснялись невозможностью канюлирования устья БДС при распространении инфильтративного процесса опухоли головки поджелудочной железы на ампулярный отдел, парапапиллярном дивертикуле, а также при выраженной деформации просвета двенадцатиперстной кишки.
Анализ проведенных нами исследований позволил определить наиболее рациональные последовательности применения лучевых методов для распознания причин механической желтухи, которые представлены в табл. 4.
Табл. 4 Алгоритм лучевых методов диагностики причин механической желтухи.
Подозреваемый диагноз (рабочий диагноз) | Содержание и последовательность выполнения лучевых методов исследования (алгоритм) |
Холедохолитиаз | УЗИ – МРХПГ (при отрицательном УЗИ – ЭРХПГ с лечебной целью в сочетании с ПСТ) |
Рак головки поджелудочной железы | УЗИ – МСКТ (в том числе, с целью оценки распространения опухолевого процесса) |
Рак желчного протока | УЗИ – МРХПГ – МСКТ (с целью оценки распространения опухолевого процесса) |
Стриктура желчного протока и другие причины сдавления | УЗИ – МРХПГ – МСКТ |
Рак БСДК | УЗИ – ЭРХПГ |
Таким образом, с учетом диагностической эффективности и экономических затрат нами выделены три основных диагностических этапа для распознавания причин механической желтухи. При этом последовательность применения методов определялась результатами предыдущих исследований. На первом этапе всем больным выполняли скрининговое исследование - УЗИ, при котором у 78% больных устанавливали тип желтухи и в большинстве наблюдений определяли ее причину. При выявлении холедохолитиаза производили извлечение камня эндоскопическим методом. В неясных случаях у 20,6% пациентов проводили второй этап исследований, в ходе которого, в зависимости от полученных при УЗИ результатах и конкретных задач, выполняли ЭРХПГ, как лечебную процедуру. Как правило, на втором этапе определяли резектабельность опухоли методом МСКТ, уточняли причины сужения ОЖП. Если картина по-прежнему оставалась неясной, у 4,4% исследуемых использовали третий этап диагностики, который заключался в проведении МРХПГ или МСКТ. На этом этапе методом МРХПГ обнаруживали не выявленный ранее холедохолитиаз, методом МСКТ определяли резектабельность опухоли протока и уточняли причину сдавления протока извне.
Традиционное оперативное лечение больных с механической желтухой, осложненной гнойным холангитом, печеночной недостаточностью, тромбогеморрагическим синдромом и т. п., является весьма рискованным и сопровождается высокой летальностью [5,9]. Послеоперационная летальность пациентов с неопухолевой желтухой составляет 10,4 - 25,2%, а больных опухолевой желтухой может достигать 40% [3]. Высокая летальность после традиционных операций, проведенных на фоне длительной механической желтухи, требовала разделить лечебный процесс у этой тяжелой категории больных на два основных этапа: на первом этапе декомпрессию желчевыводящих путей с применением миниинвазивных технологий (чрескожных, эндоскопических). После медленного устранения желчной гипертензии (быстрая декомпрессия нежелательна, так как может привести к усугублению печеночной недостаточности, гемобилии), устранения эндогенной интоксикации (путем инфузионной терапии, гемодилюции, по показаниям плазмафереза), улучшения функционального состояния печени переходили к окончательному второму этапу лечения. Такой двухэтапный подход к лечению этой тяжелой категории больных находит в последние годы все большее число сторонников [9, 14,16]. Широкое внедрение нами в последние годы в клиническую практику новых тактических и технологических схем лечения больных механической желтухой посредством применения щадящих методов декомпрессии желчевыводящих путей и способов санации протоков позволило существенно улучшить результаты лечения. Показания к применению того или иного метода декомпрессии желчевыводящих путей с применением современных миниинвазивных технологий (эндоскопических, лапароскопических операций, операций из мини-доступа, операций под контролем УЗИ, рентгенотелевидения или эндоскопии) устанавливали индивидуально в зависимости от клинической ситуации, характера, уровня и протяженности препятствия оттоку желчи, возможностей стационара, квалификации специалистов.
Наиболее целесообразным считали применение эндоскопических методов желчеотведения при холангиолитиазе (особенно холедохолитиазе), поражениях терминального отдела общего желчного протока (непротяженные стриктуры, стеноз БСДК, папиллит и др.)
Высокая диагностическая эффективность ЭРХПГ у ,73%) пациентов выгодно сочеталась с возможностью выполнения лечебных процедур (папиллосфинктеротомии, литэкстракции и литотрипсии, назобилиарного дренирования, санации желчных протоков, установки эндопротезов и др.) (табл. 5).
Лечебная тактика при холедохолитиазе в настоящее время стала более активной в связи с разработкой различных методов литэкстракции и литотрипсии. Литэкстракция показана пациентам с отягощенным анамнезом, когда нежелательно проведение повторных рентгенконтрастных исследований, при опасности вклинения конкрементов в терминальном отделе ОЖП, при множественных мелких конкрементах. Процедура противопоказана тогда, когда диаметр конкремента превышает диаметр ОЖП и размеры папиллотомического отверстия. Потребность в литэкстрации возникла у 20,57% пациентов. Эффективность механической литотрипсии достигла 86%. Назобилиарное дренирование тонким катетером, как правило, становилось завершающим этапом эндоскопических вмешательств. Широкие возможности назобилиарного дренирования позволили повысить эффективность эндоскопических методов лечения и уменьшить число возможных осложнений. Назобилиарное дренирование у,4%) больных имело большое значение для проведения эндопротеза у 21, лечения наружного желчного свища у 3, холангиогенных абсцессов у 7, аспирации желчи для биохимического, цитологического и бактериологического исследования, временного дренирования желчных протоков при невозможности эндопротезирования у 45 пациентов. У 47 больных опухолевой обтурацией желчевыводящих путей после проведения контрастного исследования выполнены ПСТ, а 21 - назобилиарное дренирование с эндопротезированием (стенированием) внепеченочных и раздельное эндопротезирование печеночных протоков.
Табл. 5 Вид минимально инвазивных технологий в лечении механической желтухи (I этап – декомпрессия желчевыводящих протоков).
Число больных | ||
Вид операции | абс. | % |
I. Эндоскопические методы | ||
РХПГ с временным ретроградным назобилиарным дренированием | 66 | 23,4 |
РХПГ с эндоскопической дозированной папиллосфинктеротомией | 47 | 16,67 |
РХПГ со стентированием | 21 | 7,45 |
РХПГ с механической литэкстракцией | 58 | 20,57 |
II. Пункционные методы | ||
Наружная холецистостомия под контролем УЗИ | 41 | 14,54 |
Чрескожная чреспеченочная антероградная холангиостомия (ЧЧХС) под контролем УЗИ и рентгено-ЭОП (электронно-оптического преобразователя на рентгеноэндоваскулярном комплексе "Integris V-3000") со стентовым эндопротезированием | 29 | 10,28 |
III. Лапароскопические методы | ||
Лапароскопическая холецистостомия с дренированием брюшной полости и сальниковой сумки | 14 | 4,96 |
Лапароскопическая холецистэктомия с наружным дренированием общего желчного протока | 6 | 2,13 |
Всего | 282 | 100 |
Эндоскопическое ретроградное дренирование значительно облегчало подготовку пациентов, не ухудшая их состояния, к последующим операциям на желчевыводящих путях, а эндопротезирование являлось окончательным этапом лечения у 16 неоперабельных больных. При невозможности применения, либо нецелесообразности эндоскопических методов декомпрессии и дренирования желчевыводящих протоков («высокий блок» желчновыводящих путей) у 29 пациентов использовали чрескожную чреспеченочную холангиостомию (ЧЧХС) под контролем УЗИ и рентгенотелевидения. Наиболее физиологично наружно-внутреннее дренирование. Вмешательство заканчивали дозированной декомпрессией желчных путей в условиях ЧЧХС с последующим окончательным восстановлением оттока желчи оперативным способом. Дозированная декомпрессия желчевыводящих протоков осуществлялась путем регулирования просвета дренирующего катетера. Высокий уровень окклюзии у всех больных был обусловлен онкологическим процессом и диктовал единственно возможный метод декомпрессии – ЧЧХС. Во всех случаях стремились выполнить реканализацию опухоли с наружно-внутренним дренированием для последующего протезирования или стентирования ОЖП. При разобщении долевых печеночных протоков производили их раздельное дренирование, что было выполнено у 8 больных. В условиях гнойного холангита отдавали предпочтение наружному дренированию до полной санации желчевыводящих протоков и антибактериальной терапии с учетом ассоциации аэробной и анаэробной микробной флоры в 70,1% наблюдений. В 5 случаях нерезектабельной опухоли переводили наружное дренирование в наружно-внутреннее с последующим выполнением эндопротезирования.
Наружняя холецистостомия наиболее приемлема в комплексной терапии острого панкреатита, осложненного механической желтухой. Лапароскопическую холецистостомию выполнили 14 больным, чрескожную чреспеченочную холецистостомию под контролем УЗИ - 29. Желчеотведение через холецистостому при опухолевом поражении ограничено ввиду возможного опухолевого стеноза устья пузырного протока. Основным методом завершения чрескожных чреспеченочных эндобилиарных вмешательств, в случае невозможности выполнения традиционного хирургического вмешательства, является эндопротезирование желчевыводящих протоков. Эндопротезирование проводили, как правило, на втором этапе (после стабилизации состояния больного), а в неосложненных случаях оно было проведено одномоментно с дренированием желчных протоков. Чреспеченочное эндопротезирование желчных протоков у 29 больных механической желтухой, обусловленной нерезектабельными опухолями органов гепатопанкреатодуоденальной зоны, являлось эффективным методом внутреннего дренирования, представляя собой один из вариантов современных миниинвазивных технологий, и рассматривалось нами как альтернатива хирургических операций у 12 пациентов.
Из ,40%) пациентов с заболеваниями, вызывающими острую непроходимость желчных протоков, с синдромом болевой механической желтухи, после I этапа – декомпрессии билиарной системы впоследствии оперировано ,54%). Лечение,46%) больных было ограничено эндоскопическими оперативными вмешательствами I этапа (ПСТ –,6%)), временное стентирование – 7 (5,11%). Операции II этапа (радикальные – ,51%), паллиативные – 13 (9,49%) в этой группе больных (табл. 6) выполняли после купирования явлений печеночной недостаточности и нормализации уровня билирубина в крови (в среднем 4,8 суток). Лапароскопические холецистэктомии произведены,64%) пациентам после выполнения ПСТ, холелитоэкстракции.
Табл. 6 Характер оперативных вмешательств при заболеваниях панкреатобилиарной зоны, осложненных механической желтухой, после декомпрессии желчных протоков и купирования желтухи (II этап – радикальные и паллиативные традиционные хирургические операции).
Характер операции | Число больных | |
абс. | % | |
I. Радикальные оперативные вмешательства при холелитиазе | ||
Лапароскопическая холецистэтомия после ПСТ, холелитоэкстракции | 63 | 28,64 |
Традиционная холецистэктомия, холедохолитотомия, наружняя холедохостомия (по Керу, Вишневскому, Холстеду) | 17 | 7,72 |
Традиционная холецистэктомия, супрадуоденальная холедоходуоденостомия (по Юрашу) | 27 | 12,27 |
II. Радикальные оперативные вмешательства при опухолевых и неопухолевых заболеваниях желчевыводящих протоков | ||
Резекция общего желчного протока с формирорванием гепатикоэнтероанастамоза | 3 | 1,36 |
Панкреатодуоденальная резекция | 4 | 1,82 |
Рассечение стриктуры общего желчного протока с формированием холедохоеюноанастомоза | 23 | 10,45 |
III. Радикальные оперативные вмешательства при прочих болезнях панкреатобилиарной зоны | ||
Панкреатодуоденальная резекция | 14 | 6,36 |
Продольная панкреатоеюностомия с холедоходуоденостомией (по Юрашу) | 2 | 0,91 |
Цистодуодено-, цистоеюностомия на выключенной петле (по Ру) | 13 | 5,91 |
Расширенная холецистэктомия с резекцией IV сегмента печени | 2 | 0,91 |
IY. Паллиативные операции | ||
Холецистоеюностомия с энтеро-энтероанастомозом (по Монастырскому-Шалимову) | 17 | 7,73 |
Холедохоеюностомия с энтеро-энтероанастомозом (по Герцену-Ру) | 12 | 5,46 |
Холецистоеюно-, гастроеюностомия с энтеро-энтероанастомозом | 14 | 6,36 |
Диагностические лапароскопии (удаление асцита, биопсия тканей) | 9 | 4,1 |
Всего | 220 | 100 |
После неудачных попыток эндоскопической холелитотрипсии и «фиксированных» крупных конкрементах ОЖП,12%) больным произведены традиционные холецистэктомии с выполнением интраоперационной холедохоскопии, холелитотомии, дренирования ОЖП у,41%), с наложением холедоходуоденоанастамоза у,71%) пациентов. Эта группа больных характеризовалась наибольшим количеством выполненных радикальных оперативных вмешательств, из них более 50% - эндовидеохирургическим способом. Необходимо отметить, что желтуха у этих пациентов быстро поддавалась купированию в результате оперативных пособий I этапа, а явления печеночно-почечной недостаточности отмечены лишь в 17,4% наблюдений с синдромом СВР (острый панкреатит, холангит, билиарный сепсис).
Из,60%) пациентов с заболеваниями, вызывающими хроническую (опухолевую) непроходимость желчных протоков, с синдромом безболевой механической желтухи, после I «декомпрессионного» этапа оперированы,90%) (табл. 6). Лечение,10%) больных с местнораспространенными опухолями и четвертой стадией онкологического процесса ограничивали выполнением операций I этапа (эндоскопическое постоянное стентирование –,89%), внутреннее внутрипеченочное стентирование после ЧЧХС – 8 (9,64%). Кроме этого, в этой группе произведено 9 (10,84%) диагностических лапароскопий, сопровождающихся удалением асцитической жидкости и взятием биопсийного материала, и,76%) операции паллиативного характера (наложение билио-дигестивных (шунтирующих) операций –,94%), при компрессии двенадцатиперстной кишки – наложение холецистоеюно-, гастро-энтероанастамозов –,87%). Паллиативные (шунтирующие) операции проводили при технической невозможности выполнения эндопротезирования эндоскопическим или чрескожным чреспеченочным способом. Радикальные оперативные вмешательства при неопухолевых причинах желтухи выполнены,78%) больным (рассечение стриктур –,71%), продольная панкреатоеюностомия – 2 (2,41%), анастамозы кист поджелудочной железы с тонкой кишкой –,66%). При раке головки поджелудочной железы, БДС, терминального отдела ОЖП и желчного пузыря выполнено,71%) радикальных оперативных вмешательств (ПДР –,69%), резекция ОЖП – 3 (3,61%), холецистэктомия с резекцией IY сегмента печени – 2 (2,41%). Механическая желтуха в этой группе носила упорный характер, сопровождалась тяжелым течением печеночно-почечной недостаточности, геморрагическими и водно-электролитными расстройствами, характеризовалась медленным купированием (от 3-х недель до 2-х месяцев после операций I этапа). Именно эта группа больных с механической желтухой характеризовалась наибольшим числом осложнений -,13%) и летальных исходов - 5 (6,02%) (табл. 6).
Табл. 7 Послеоперационные осложнения и причины летальных исходов больных с механической желтухой.
Характер послеоперационных осложнений | Число осложнений | Число летальных исходов | ||
абс. | % | абс. | % | |
Несостоятельность панкреатоеюно-, билиодигистивных анастамозов, желчеистечение, панкреатические свищи | 7 | 2,83 | 1 | 0,4 |
Ранний острый послеоперационный панкреатит | 20 | 8,1 | 1 | 0,4 |
Внутрибрюшное кровотечение (аррозивное) | 3 | 1,21 | 1 | 0,4 |
Острые язвы ЖКТ, осложненные кровотечением | 24 | 9,72 | ||
Прогрессирование печеночно-почечной недостаточности и геморрагических расстройств | 13 | 5,26 | 2 | 0,81 |
Билиарный сепсис | 6 | 2,43 | 2 | 0,81 |
Гемобилия | 1 | 0,4 | ||
Нагноение послеоперационной раны | 28 | 11,34 | ||
Пневмония | 7 | 2,83 | ||
Острый инфаркт миокарда | 2 | 0,81 | ||
Всего | 111 | 44,93 | 7 | 2,82 |
Наиболее частыми осложнениями механических желтух калькулезного генеза явились: ранний острый послеоперационный панкреатит – 20 (8,1%), острая язва ЖКТ, осложненная кровотечением – 24 (9,72%). Гнойно-септические осложнения (нагноение послеоперационных ран –,34%), пневмонии – 7 (2,83%), билиарный сепсис – 6 (2,43%)) наиболее часто проявлялись в послеоперационном периоде у пациентов с опухолями ОЖП, БДС, холедохолитиазом, сопровождающимся гнойным холангитом, холангиогенными абсцессами печени. Несостоятельность панкреатоеюно-, билиодигистивных анастамозов, сопровождающаяся желчеистечением и панкреатическими свищами – 7 (2,83%), прогрессирование печеночно-почечной недостаточности и геморрагических расстройств – 13 (5,26%), инфаркт миокарда – 2 (0,81%) - развились в группе пациентов старше 60 лет со злокачественным генезом механической желтухи (после ПДР по поводу рака головки поджелудочной железы, резекции ОЖП по поводу аденокарциномы, расширенной холецистэктомии по поводу перстневидноклеточного рака, а также паллиативных операций по поводу неоперабельного рака панкреатобилиарнодуоденальной зоны).
Заключение. Результаты лечения заболеваний, осложнившихся обтурационной желтухой, зависят от степени и длительности гипербилирубинемии, своевременного и точного определения характера желтухи, уровня и причины обтурации желчных протоков. С целью определения причины желтухи на первом этапе показано УЗИ, при котором диагноз устанавливается более чем у 78% больных. В неясных случаях (до 17%) проводится второй этап исследований, в ходе которого, в зависимости от полученных при УЗИ результатах конкретных задач, выполняются или МСКТ (для уточнения диагноза, определения резектабельности опухоли), или МРХПГ (для уточнения состояния ОЖП), или ЭРХПГ, в том числе, и как лечебная процедура. В 5% возникала необходимость проведения третьего этапа диагностики, при котором выбор метода определялся конкретной задачей. Используемый алгоритм является системой поэтапных мероприятий лечебно-диагностической помощи больным с механической желтухой, позволяющий установить диагноз в кратчайшие сроки и вместе с тем провести вмешательства, направленные на декомпрессию желчевыводящих путей в первые дни от начала госпитализации. При выборе метода желчеотведения необходимо учитывать уровень обтурации желчевыводящих путей (проксимальный или дистальный), распространение патологического процесса на окружающие органы и ткани и состояние пациента (планируется ли после дренирования желчевыводящих протоков и декомпрессии выполнение радикального хирургического вмешательства), прогнозируемое время жизни после миниинвазивного вмешательства, если радикальная операция не показана, вероятность возможных осложнений, материально-техническое обеспечение и уровень подготовленности хирурга к тому или иному виду операции.
Двухэтапный метод лечения синдрома механической желтухи, осложняющей течение доброкачественных и злокачественных заболеваний билиарнопанкреатодуоденальной зоны (первый этап – декомпрессия желчных протоков, второй этап – выполнение радикальных и паллиативных традиционных хирургических вмешательств), позволил уменьшить количество послеоперационных осложнений на 17%, а летальность снизить до 2,8%.
Литература
1. , , Федорович хирургии желчных путей. – М., 1982. – С. 131 – 132.
2. Ветшев улучшения результатов хирургического лечения больных с механической желтухой: Дис. …канд. мед. наук. – М., 1982.
3. Ветшев подход при обтурационной желтухе // Рос. журн. гепатол., колопроктол. – 1999. – С. 18 – 24.
4. , Ветшев по хирургии желчных путей. – М.: Видар, 2006. – 559 с.
5. , Ахаладзе сепсис: некоторые особенности патогенеза // Хирургия. – 1999. - № 10.
6. , , Прудков болезнь. – М.: Видар-М, 2000.
7. , Вишневский поджелудочной железы. – М.: Медпрактика, 2003.
8. 80 лекций по хирургии.- М.: Литтерра, 2008. – 910 с.
9. , Котельников поджелудочной железы: диагностика и хирургическое лечение на современном этапе //Анн. Хир. гепатол. – 1998. – Т. 3, № 1. – С. 96 – 111.
10. , , и др. Малоинвазивные вмешательства в лечении механической желтухи // Хирургия. – 1998. - № 9.
11. Шевченко хирургия. М.: ГЭОТАР-Медиа, 2005. – С. 72 – 91.
12. Archer S. B. et al. Bile Duct Injury During Laparoscopic Cholecystectomy // Results of a National Survey // Ann. Surg. – 2001. – Vol. 234, N 4. – P. 549 – 558.
13. Greenlee R. T., Hill-Harmon M. B., Murray T., Thun M. / Cancer statistics, 2001 // CA Cancer J. Clin. – 2001. – Vol.– P. 36.
14. Lillemoe K. D. et al. Major Bile Duct Injuries During Laparoscopic Cholecystectomy. Follow-Up After Combined Surgical and Radioologic Management // Ann. Of Surg. – 1997. – Vol. 225, N 5. – P. 459 – 471.
15. Mu D. Q., Peng Y. S., Wang F. G., Xu Q. J. Significance of perigastric lymph node involvement in periampullary malignant tumor // World J. Gastroenterol. – 2004. – Vol.– P. 614 – 616.
16. Podnos Y. D., Jimenez J. C., Zainabadi K. et al. Carcinoid tumors of the common bile duct:report of two cases // Surg. Today. – 2003. – Vol.– P. 553 – 555.
17. Stewart L., Way L. W. Bile duct injury during laparoscopic cholecystectomy // Arch. Surg. – 1995. – N 130. – P. 1123 – 1129.
18. Trerotola S. O., Savader S. J., Lund G. B. et al. Biliary tract complications following laparoscopic cholecystectomy: imaging and intervention // Radiology. – 1992. – Vol. 184. – P. 195 – 200.

Рис. 1 МРХПГ. Конкремент в общем печеночном протоке.

Рис. 2 МРХПГ. Внутрипеченочная желчная гипертензия, гипертензии в протоке поджелудочной железы за счет образования головки поджелудочной железы.

Рис. 3 МРХПГ. Желчная гипертензия. Рубцовая стриктура проксимального отдела общего желчного протока.

Рис. 4 МРХПГ. Дефекты наполнения (конкременты) в просвете общего печеночного и общего желчного протоков.

Рис. 5 МРХПГ. Внутрипеченочная желчная гипертензия, гипертензии в протоке поджелудочной железы за счет отека головки поджелудочной железы (псевдотуморозный панкреатит).

Рис. 6 МРХПГ. Желчная гипертензия. Объемное образование большого дуоденального сосочка.

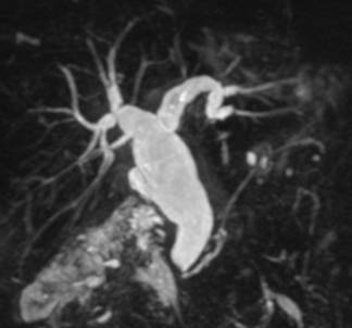
![]()

Рис. 4 МРХПГ. Дефекты наполнения (конкременты) в просвете общего печеночного и общего желчного протоков.



